Sering Minum Kopi? Ini Akibatnya Menurut Dokter Gigi Terdekat di Denpasar

Menemukan dokter gigi terdekat di Denpasar bisa menjadi langkah pertama yang bijak buat kamu yang ingin menjaga kesehatan gigi dan mulut. 

Apalagi bagi pecinta kopi, rutin berkonsultasi dengan dokter gigi terdekat di Denpasar sangat penting untuk mengetahui dampak minuman ini pada kesehatan gigi. 

Tidak sedikit dari kita yang menyukai kopi sebagai teman pagi hingga larut malam, tapi apakah kamu tahu dampak kopi pada kesehatan gigi? Yuk, cari tahu lebih dalam mengenai efek kopi terhadap gigi dan bagaimana dokter gigi terdekat di Denpasar seperti di Omnident Bali dapat membantu kamu mengatasinya.

Dampak Sering Minum Kopi bagi Kesehatan Gigi

Sering minum kopi dapat berdampak pada kesehatan gigi karena kandungan asam dan zat tanin di dalamnya. Berikut beberapa efek utama kopi terhadap kesehatan gigi:

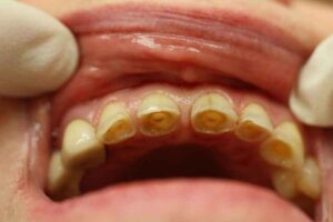
1. Gigi Kuning dan Noda pada Gigi

Kopi mengandung tanin yang tinggi, sejenis polifenol yang menyebabkan noda pada permukaan gigi. 

Tanin ini mudah menempel pada enamel gigi dan sulit dihilangkan dengan hanya menyikat gigi biasa. 

Menurut dokter gigi terdekat di Denpasar, sering minum kopi akan mempercepat perubahan warna gigi, membuatnya tampak kuning atau coklat. 

Untuk mengatasinya, kamu dapat mencoba perawatan pembersihan gigi rutin di klinik gigi, seperti Omnident Bali, untuk mendapatkan warna gigi yang lebih cerah kembali.

2. Erosi Enamel Gigi

Asam dalam kopi dapat mengikis enamel gigi jika dikonsumsi dalam jangka waktu panjang tanpa perawatan gigi yang tepat. 

Erosi enamel menyebabkan gigi menjadi sensitif dan lebih rentan terhadap kerusakan. Menurut dokter gigi terdekat, penipisan enamel ini perlu segera diatasi sebelum kondisi gigi memburuk. 

Perawatan dari dokter gigi terdekat di Denpasar, seperti di Omnident Bali, dapat membantu melindungi enamel gigi melalui perawatan khusus yang akan memperkuat lapisan gigi.

3. Risiko Gigi Berlubang

Gula yang sering ditambahkan ke dalam kopi dapat memperburuk risiko gigi berlubang. 

Kombinasi antara gula dan asam kopi menciptakan lingkungan ideal bagi bakteri di mulut, yang dapat menyebabkan gigi berlubang lebih cepat. 

Berkonsultasi dengan dokter gigi terdekat untuk melakukan pengecekan rutin dapat membantu kamu memantau kondisi kesehatan gigi agar terhindar dari masalah gigi berlubang.

Batasan Aman Minum Kopi Menurut Dokter Gigi Terdekat di Denpasar

Dokter gigi terdekat di Denpasar menyarankan konsumsi kopi tidak lebih dari 2 hingga 3 cangkir per hari untuk mengurangi dampak negatifnya pada gigi. Kamu juga disarankan untuk:

– Menggunakan Sedotan: Untuk mengurangi kontak kopi langsung dengan gigi.

– Berkumur Setelah Minum Kopi: Berkumur dengan air putih setelah minum kopi dapat membantu mengurangi residu kopi pada gigi.

– Mengurangi Gula: Jika memungkinkan, minumlah kopi tanpa gula atau dengan sedikit pemanis agar tidak mempercepat kerusakan gigi.

Selain itu, melakukan pembersihan gigi rutin di dokter gigi terdekat seperti di Omnident Bali setiap 6 bulan sekali dapat mencegah noda dan kerusakan yang diakibatkan oleh kopi.

Tips Merawat Gigi Ketika Minum Kopi

Berikut ini beberapa tips dari dokter gigi yang dapat membantu kamu:

  • Gunakan Pasta Gigi Khusus untuk Noda Kopi: Pilih pasta gigi yang dirancang khusus untuk menghilangkan noda kopi agar gigi tetap putih.
  • Rutin Berkunjung ke Dokter Gigi Terdekat: Rutin memeriksakan gigi ke dokter gigi terdekat seperti di Omnident Bali akan membantu mendeteksi permasalahan gigi sejak dini.
  • Gunakan Floss Setelah Minum Kopi: Flossing setelah minum kopi dapat menghilangkan sisa kopi yang terselip di antara gigi, mengurangi risiko plak dan noda.

Mengapa Memilih Dokter Gigi Terdekat di Denpasar?

Buat kamu yang tinggal di Denpasar, memilih dokter gigi terdekat seperti Omnident Bali sangat membantu dalam merawat gigi dari efek kopi secara efektif. Beberapa keuntungan memilih Omnident Bali sebagai dokter gigi terdekat antara lain:

– Akses Mudah: Omnident Bali terletak strategis di Denpasar sehingga mudah dijangkau.

– Perawatan Profesional: Klinik ini memiliki tim dokter gigi terdekat di Denpasar yang berpengalaman dan siap memberikan perawatan terbaik.

– Layanan Lengkap: Dari pembersihan gigi hingga pemutihan dan perawatan lainnya, tersedia berbagai layanan untuk menjaga kesehatan gigi kamu.

Dokter gigi terdekat di Denpasar, seperti di Omnident Bali, siap membantu kamu menjaga kesehatan gigi dari efek negatif kopi. Dengan rutin berkonsultasi dan merawat gigi di dokter gigi terdekat, kamu tetap bisa menikmati kopi favorit tanpa khawatir akan kondisi gigi kamu.

Untuk kamu yang sedang berada di Bali – Denpasar dan memiliki keluhan pada gigi atau mulut, konsultasikan segera di Omnident Bali – Denpasar.

Kami berdedikasi untuk menjadi klinik yang memberikan pelayanan kesehatan gigi dan mulut terbaik di Bali dengan harga yang terjangkau.

Kami senantiasa berupaya untuk memberikan pelayanan yang akan memenuhi ekspektasi kamu terhadap hasil yang diinginkan.

Selain itu setiap perawatan yang berhubungan dengan aesthetic atau cosmetic tentunya akan kami lakukan dengan sangat baik , karna kami adalah klinik yang tidak hanya merawat tetapi juga akan memberikan hasil perawatan se-aesthetic mungkin.

Klinik Gigi Aesthetic Denpasar - Bali

Quick Contact

Feel Free to Contact Us

Our Address

Jl. Nusa Indah No.80, Sumerta, Kec. Denpasar Tim., Kota Denpasar, Bali 80235

Opening Hour:
Monday - Saturday
09.00 am - 01.00 pm & 05.00 pm - 09.00 pm

Copyright © 2024 Klinik Gigi Omnident Bali | Developed by Gleamore.id

Scroll to Top