5 Ciri Gigi Kamu Berlubang

Gigi berlubang adalah salah satu masalah kesehatan gigi yang sering terjadi dan dapat menyebabkan rasa tidak nyaman jika tidak segera ditangani. Banyak orang tidak menyadari bahwa giginya mulai mengalami kerusakan karena gejala awalnya sering kali diabaikan. Jika dibiarkan, gigi berlubang bisa semakin parah dan memerlukan perawatan lebih lanjut seperti perawatan saluran akar atau pencabutan gigi.

Pada artikel ini, kita akan membahas 5 ciri gigi berlubang yang perlu kamu ketahui serta bagaimana perawatan tambal gigi di Omnident Bali dapat menjadi solusi terbaik untuk mengatasi masalah ini.

Kenapa Gigi Bisa Berlubang?

Gigi berlubang terjadi ketika bakteri dalam mulut menghasilkan asam yang merusak lapisan enamel gigi. Hal ini biasanya disebabkan oleh sisa makanan yang menempel di gigi, terutama makanan manis dan bertepung yang dapat menjadi sumber makanan bagi bakteri. Jika tidak segera dibersihkan, bakteri akan membentuk plak yang perlahan-lahan merusak enamel dan menyebabkan gigi berlubang.

Selain pola makan, faktor lain seperti kebersihan mulut yang kurang terjaga dan jarang melakukan pemeriksaan gigi juga bisa meningkatkan risiko gigi berlubang.

Ciri Gigi Kamu Berlubang

1. Timbul Rasa Ngilu Saat Makan atau Minum

Salah satu tanda awal gigi berlubang adalah munculnya rasa ngilu, terutama saat mengonsumsi makanan atau minuman yang panas, dingin, atau manis. Sensitivitas ini terjadi karena lapisan enamel yang mulai menipis, sehingga rangsangan dari makanan dan minuman lebih mudah mencapai saraf gigi.

2. Ada Lubang Kecil pada Gigi

Jika kamu merasa ada bagian gigi yang terasa kasar atau cekung saat disentuh dengan lidah, itu bisa menjadi tanda bahwa gigi mulai berlubang. Awalnya, lubang ini mungkin tidak terlihat dengan jelas, tetapi seiring waktu, ukurannya bisa semakin besar.

3. Sering Terasa Sakit Tanpa Sebab yang Jelas

Nyeri pada gigi yang terjadi secara tiba-tiba atau berlangsung terus-menerus bisa menjadi indikasi bahwa gigi sudah mengalami kerusakan yang cukup parah. Rasa sakit ini bisa muncul akibat infeksi yang sudah mencapai bagian dalam gigi, termasuk saraf gigi.

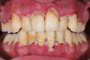
4. Gigi Berubah Warna

Gigi yang berlubang sering kali mengalami perubahan warna menjadi lebih gelap atau muncul noda kecoklatan atau kehitaman. Perubahan warna ini terjadi karena enamel yang terkikis serta penumpukan bakteri di area gigi yang mulai membusuk.

5. Muncul Bau Mulut yang Tidak Sedap

Bakteri yang berkembang di dalam lubang gigi bisa menyebabkan bau mulut yang tidak sedap. Jika kamu sudah rutin menyikat gigi tetapi bau mulut tetap ada, ini bisa menjadi tanda bahwa ada gigi yang berlubang dan perlu segera diperiksa oleh dokter gigi.

Solusi untuk Gigi Berlubang: Perawatan Tambal Gigi di Omnident Bali

Jika kamu mengalami salah satu atau beberapa tanda di atas, segera lakukan pemeriksaan di klinik gigi untuk mendapatkan penanganan yang tepat. Salah satu solusi terbaik untuk mengatasi gigi berlubang adalah dengan tambal gigi.

Di Omnident Bali, perawatan tambal gigi dilakukan oleh dokter gigi yang berpengalaman dengan teknologi modern untuk memastikan hasil yang nyaman dan tahan lama. Tambal gigi berfungsi untuk menutup lubang pada gigi sehingga kerusakan tidak semakin parah dan mencegah infeksi lebih lanjut.

Manfaat melakukan tambal gigi di Omnident Bali:

  • Menyelamatkan gigi dari kerusakan yang lebih parah
  • Mencegah rasa sakit dan infeksi yang dapat menyebar ke bagian lain
  • Memulihkan fungsi gigi agar tetap bisa digunakan untuk mengunyah dengan nyaman
  • Menggunakan bahan tambalan berkualitas tinggi yang tahan lama dan aman

Kesimpulan

Gigi berlubang sering kali tidak disadari hingga menimbulkan rasa sakit yang mengganggu. Beberapa ciri gigi berlubang yang perlu diperhatikan adalah rasa ngilu saat makan, munculnya lubang kecil, nyeri tanpa sebab, perubahan warna gigi, dan bau mulut yang tidak sedap.

Untuk mencegah kerusakan yang lebih parah, segera lakukan perawatan tambal gigi di Omnident Bali. Dengan dokter gigi profesional dan peralatan modern, kamu bisa mendapatkan perawatan gigi yang nyaman dan aman. Jangan tunggu sampai rasa sakit semakin parah, segera jadwalkan konsultasi di Omnident Bali untuk mendapatkan perawatan terbaik bagi gigi kamu.

Klinik Gigi Aesthetic Denpasar - Bali

Quick Contact

Feel Free to Contact Us

Our Address

Jl. Nusa Indah No.80, Sumerta, Kec. Denpasar Tim., Kota Denpasar, Bali 80235

Opening Hour:
Monday - Saturday
09.00 am - 01.00 pm & 05.00 pm - 09.00 pm

Copyright © 2024 Klinik Gigi Omnident Bali | Developed by Gleamore.id

Scroll to Top